Marek's Photo

Marek Kociński

Welcome to my personal homepage

About Me

I am a Python and C++ software developer with a strong background in computer science, 3D visualization, data science, computer vision, and image analysis. I am passionate about electronics: embeded systems, roborics, smart homes.

Skills

Professional Experience

Assistant Professor - Lodz University of Technology, Poland (2009 - 2023)
Researcher. Developed various tools and system for biomedical image analysis and visualization. Responsible for research, teaching, MSc and BSc supervision.

Postdoctoral Fellow, Researcher - University of Bergen, Norway (2019 - 2022)
Researcher, data scientist, Python software developer: ML/DL algorithms and 3D visualization.

Selected Projects

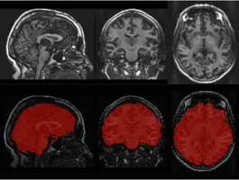
Skull stripping in a large and heterogeneous set of head MRI using

skull stripping

Application of 2D and 3D Deep Neural Network models to remove of the parts of 3D MR images that correspond to non-brain tissue.

Predicting conversion to Alzheimer's Disease in individuals with Mild Cognitive Impairment

Project 3

Machine Learning. Random Forests.

Geometric modeling of vascular system

modelowanie

Geometric description and modeling of segmented arteries and veins based on 3D MR images.

Segmentation and modeling of brain vascular system

segmentacja i modelowanie

Segmentation and 3D modeling of blood vessels depicted in 3D MR image.

3D raster image simulation

3D raster image simulator

Convertion of vector described vascular tree to 3D raster image.

Computer simulation of vascular tree growth

vascular tree growth

Computer simulation of vascular tree growth.

The KIWI fruit seed segmentation

KIWI fruit seed segmentation

Image processing based approach, 3D model and visualization.

Education

PhD in Computer Science - The Technical University of Lodz (2003 - 2009)
Focus on software development, machine learning and 3D visualization. The thesis Quantitative analysis of vascular trees represented by digital imageswas distinguished by the Council of the Faculty of Electrical, Electronic, Computer and Control Engineering.

MSc in Electronics and Telecomunication - The Technical University of Lodz (1997 - 2003)
Master's thesis: Implementation of Two-Dimensional ADPCM in an FPGA System for Encoding Low-Frequency Wavelet Transform Coefficient

Teaching

I have conducted various undergraduate and graduate-level courses on Image Processing, Computer Graphics, Digital Signal Processing, Algorithms and Data Structures, Fundamentals of Programming, Microprocessors Systems, Electronic Circuits, Digital Systems, Graphical User Interface Designing and Medical Imaging.
I enjoy sharing my knowledge and helping others grow in their programming careers.

Supervision

I have supervised more than 40 bachelor's and master's theses and co-supervised a doctoral thesis, guiding students projects in areas like: artificial intelligence, data science, machine learning, deep learning, computer vision, biomedical image processing and analysis, 3D computer graphics, robotics, and medical imaging.

I have regularly organized and led seminars and workshops to deepen students' understanding of topics such as computer science, fundamentals of programming, fundamentals of image processing and 3D visualization.

Publications

I am the co-author of approximately 60 scientific publications. My work has been featured in reputable journals and presented at international conferences, contributing to advancements in biomedical engineering applications.

Contact and Links